目の下の切らないクマ取りの症例一覧
最新の症例写真
Before
After
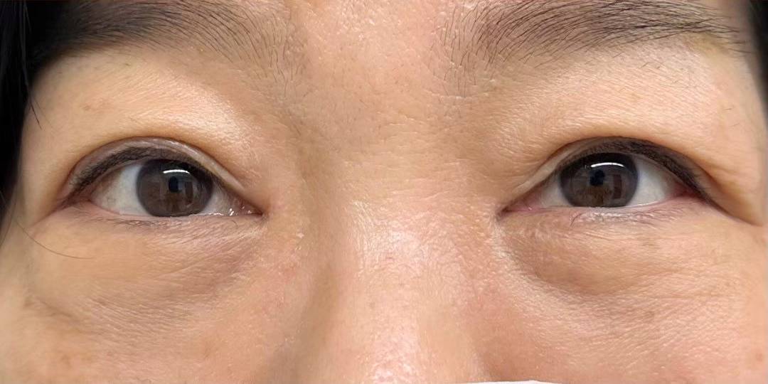
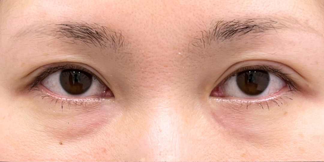
目の下の切らないクマ取り
目の下の切らないクマ取り
Before
After
-
Before
After
目の下の切らないクマ取り
下まぶたの裏から脂肪を取り出し、目の下のクマやたるみを改善する治療を行いました。電気メスによる丁寧な止血を行い、内出血をできる限り抑えました。
リスク・副作用
腫れ・痛み・内出血・感染・左右差・視力低下など
施術費用
¥76,000〜300,000
担当医
[ネビュラクリニック 広島院 院長] 住尾祥隆
Before
After
目の下の切らないクマ取り
目の下の切らないクマ取り
Before
After
-
Before
After
目の下の切らないクマ取り
下まぶたの裏から脂肪を取り出し、目の下のクマやたるみを改善する治療を行いました。電気メスによる丁寧な止血を行い、内出血をできる限り抑えました。
リスク・副作用
腫れ・痛み・内出血・感染・左右差・視力低下など
施術費用
¥76,000〜300,000
担当医
[ネビュラクリニック 広島院 院長] 住尾祥隆
Before
After
目の下の切らないクマ取り
目の下の切らないクマ取り
Before
After
-
Before
After
目の下の切らないクマ取り
下まぶたの裏から脂肪を取り出し、目の下のクマやたるみを改善する治療を行いました。電気メスによる丁寧な止血を行い、内出血をできる限り抑えました。
リスク・副作用
腫れ・痛み・内出血・感染・左右差・視力低下など
施術費用
¥76,000〜300,000
担当医
[ネビュラクリニック 広島院 院長] 住尾祥隆
Before
After
目の下の切らないクマ取り
目の下の切らないクマ取り
Before
After
-
Before
After
目の下の切らないクマ取り
下まぶたの裏から脂肪を取り出し、目の下のクマやたるみを改善する治療を行いました。電気メスによる丁寧な止血を行い、内出血をできる限り抑えました。
リスク・副作用
腫れ・痛み・内出血・感染・左右差・視力低下など
施術費用
¥76,000〜300,000
担当医
[ネビュラクリニック 広島院 院長] 住尾祥隆
Before
After
目の下の切らないクマ取り
目の下の切らないクマ取り
Before
After
-
Before
After
目の下の切らないクマ取り
下まぶたの裏から脂肪を取り出し、目の下のクマやたるみを改善する治療を行いました。電気メスによる丁寧な止血を行い、内出血をできる限り抑えました。
リスク・副作用
腫れ・痛み・内出血・感染・左右差・視力低下など
施術費用
¥76,000〜300,000
担当医
[ネビュラクリニック 広島院 院長] 住尾祥隆
Before
After
目の下の切らないクマ取り
目の下の切らないクマ取り
Before
After
-
Before
After
目の下の切らないクマ取り
下まぶたの裏から脂肪を取り出し、目の下のクマやたるみを改善する治療を行いました。電気メスによる丁寧な止血を行い、内出血をできる限り抑えました。
リスク・副作用
腫れ・痛み・内出血・感染・左右差・視力低下など
施術費用
¥76,000〜300,000
担当医
[ネビュラクリニック 広島院 院長] 住尾祥隆
Before
After
目の下の切らないクマ取り
目の下の切らないクマ取り
Before
After
-
Before
After
目の下の切らないクマ取り
下まぶたの裏から脂肪を取り出し、目の下のクマやたるみを改善する治療を行いました。電気メスによる丁寧な止血を行い、内出血をできる限り抑えました。
リスク・副作用
腫れ・痛み・内出血・感染・左右差・視力低下など
施術費用
¥76,000〜300,000
担当医
[ネビュラクリニック 代表/理事長] 白岩 拓巳
Before
After
目の下の切らないクマ取り
目の下の切らないクマ取り
Before
After
-
Before
After
目の下の切らないクマ取り
下まぶたの裏から脂肪を取り出し、目の下のクマやたるみを改善する治療を行いました。電気メスによる丁寧な止血を行い、内出血をできる限り抑えました。
リスク・副作用
腫れ・痛み・内出血・感染・左右差・視力低下など
施術費用
¥76,000〜300,000
担当医
[ネビュラクリニック 代表/理事長] 白岩 拓巳
17-24件/32件
お問い合わせ
お問い合わせはこちら
営業時間 10:00〜19:00/不定休
WEBでご予約はこちら
クリニックのご紹介
-
ネビュラクリニック広島院
〒730-0035
広島県広島市中区本通4-7 コズミックビル 3F広島電鉄「本通駅」徒歩2分
広島バス「本通り」徒歩2分【診療時間】10:00~19:00
【休診日】不定休
-
ネビュラクリニック京都院
〒600-8146
京都府京都市下京区東洞院通七条東入材木町499 京都駅前第七ビル 3FJR京都駅中央口/地下東口より徒歩4分
地下鉄烏丸線北改札口より徒歩3分
京阪本線七条駅より徒歩6分【診療時間】10:00〜19:00
【休診日】不定休
-
ネビュラクリニック東京錦糸町院
-
神戸美容外科ネビュラクリニック
〒650-0021
兵庫県神戸市中央区三宮町2丁目10−7 グレースコウベビル 2FJR三宮より徒歩5分
阪急三宮より徒歩3分【診療時間】10:00~19:00
【休診日】不定休
-
小倉美容外科ネビュラクリニック
〒802-0006
福岡県北九州市小倉北区魚町1丁目1-16
ベルビル 6FJR小倉駅より徒歩6分
モノレール平和通駅より徒歩3分【診療時間】10:00~19:00
【休診日】不定休
-
札幌美容外科ネビュラクリニック
〒060-0001
北海道札幌市中央区北1条西3丁目3ー27
札幌北1条駅前通りビル3FJR札幌駅南口より地下歩行空間(チ・カ・ホ)経由で大通方面(南方向)へ徒歩5分
札幌市営地下鉄大通駅より徒歩5分【診療時間】10:00~19:00
【休診日】不定休
-
新宿美容外科ネビュラクリニック
-
愛知春日井美容外科ネビュラクリニック
人気施術
-
ネビュラクリニック広島院
-
ネビュラクリニック京都院
-
ネビュラクリニック東京錦糸町院
-
神戸美容外科ネビュラクリニック
-
小倉美容外科ネビュラクリニック
-
札幌美容外科ネビュラクリニック
-
新宿美容外科ネビュラクリニック
-
愛知春日井美容外科ネビュラクリニック