目の下の切らないクマ取りの症例一覧
最新の症例写真
Before
After
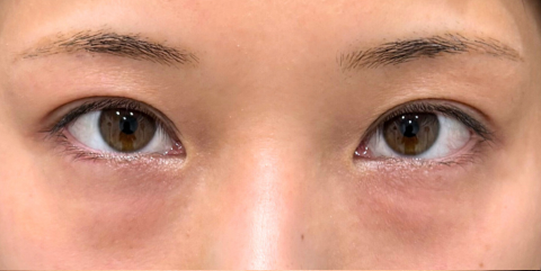
目の下の切らないクマ取り
目の下の切らないクマ取り
Before
After
-
Before
After
目の下の切らないクマ取り
下まぶたの裏から脂肪を取り出し、目の下のクマやたるみを改善する治療を行いました。電気メスによる丁寧な止血を行い、内出血をできる限り抑えました。
リスク・副作用
腫れ・痛み・内出血・感染・左右差・視力低下など
施術費用
¥76,000〜300,000
担当医
[小倉美容外科ネビュラクリニック 院長] 浦野正樹
Before
After
目の下の切らないクマ取り
目の下の切らないクマ取り
Before
After
-
Before
After
目の下の切らないクマ取り
下まぶたの裏から脂肪を取り出し、目の下のクマやたるみを改善する治療を行いました。電気メスによる丁寧な止血を行い、内出血をできる限り抑えました。
リスク・副作用
腫れ・痛み・内出血・感染・左右差・視力低下など
施術費用
¥76,000〜300,000
担当医
[小倉美容外科ネビュラクリニック 院長] 浦野正樹
Before
After
二重埋没法+クマ取り
二重埋没法+クマ取り
Before
After
-
Before
After
二重埋没法+クマ取り
まぶたの数カ所を専用の糸で結び留めることで二重を作る施術です。切開に比べて傷は目立たず、ダウンタイムや腫れが少ないことが特徴的な施術です。
リスク・副作用
腫れ・内出血・左右差・角膜損傷など
施術費用
59,400円〜539,000円(税込)
担当医
[小倉美容外科ネビュラクリニック 院長] 浦野正樹
Before
After
目の下の切らないクマ取り
目の下の切らないクマ取り
Before
After
-
Before
After
目の下の切らないクマ取り
下まぶたの裏から脂肪を取り出し、目の下のクマやたるみを改善する治療を行いました。電気メスによる丁寧な止血を行い、内出血をできる限り抑えました。
リスク・副作用
腫れ・痛み・内出血・感染・左右差・視力低下など
施術費用
¥76,000〜300,000
担当医
[愛知春日井美容外科ネビュラクリニック院長] 都築 諒
Before
After
二重埋没法・クマ取り
二重埋没法・クマ取り
Before
After
-
Before
After
二重埋没法・クマ取り
下まぶたの裏から脂肪を取り出し、目の下のクマやたるみを改善する治療を行いました。電気メスによる丁寧な止血を行い、内出血をできる限り抑えました。
リスク・副作用
腫れ・痛み・内出血・感染・左右差・視力低下など
施術費用
¥76,000〜300,000
担当医
[ネビュラクリニック新宿院 院長] 山本紘子
Before
After
目の下の切らないクマ取り
目の下の切らないクマ取り
Before
After
-
Before
After
目の下の切らないクマ取り
下まぶたの裏から脂肪を取り出し、目の下のクマやたるみを改善する治療を行いました。電気メスによる丁寧な止血を行い、内出血をできる限り抑えました。
リスク・副作用
腫れ・痛み・内出血・感染・左右差・視力低下など
施術費用
¥76,000〜300,000
担当医
[ネビュラクリニック新宿院 院長] 山本紘子
Before
After
目の下の切らないクマ取り
目の下の切らないクマ取り
Before
After
-
Before
After
目の下の切らないクマ取り
下まぶたの裏から脂肪を取り出し、目の下のクマやたるみを改善する治療を行いました。電気メスによる丁寧な止血を行い、内出血をできる限り抑えました。
リスク・副作用
腫れ・痛み・内出血・感染・左右差・視力低下など
施術費用
¥76,000〜300,000
担当医
[札幌美容外科ネビュラクリニック 院長] 横田 開
Before
After
目の下の切らないクマ取り
目の下の切らないクマ取り
Before
After
-
Before
After
目の下の切らないクマ取り
下まぶたの裏から脂肪を取り出し、目の下のクマやたるみを改善する治療を行いました。電気メスによる丁寧な止血を行い、内出血をできる限り抑えました。
リスク・副作用
腫れ・痛み・内出血・感染・左右差・視力低下など
施術費用
¥76,000〜300,000
担当医
[ネビュラクリニック 錦糸町院 院長] 岩切琢磨
1-8件/32件
お問い合わせ
お問い合わせはこちら
営業時間 10:00〜19:00/不定休
WEBでご予約はこちら
クリニックのご紹介
-
ネビュラクリニック広島院
〒730-0035
広島県広島市中区本通4-7 コズミックビル 3F広島電鉄「本通駅」徒歩2分
広島バス「本通り」徒歩2分【診療時間】10:00~19:00
【休診日】不定休
-
ネビュラクリニック京都院
〒600-8146
京都府京都市下京区東洞院通七条東入材木町499 京都駅前第七ビル 3FJR京都駅中央口/地下東口より徒歩4分
地下鉄烏丸線北改札口より徒歩3分
京阪本線七条駅より徒歩6分【診療時間】10:00〜19:00
【休診日】不定休
-
ネビュラクリニック東京錦糸町院
-
神戸美容外科ネビュラクリニック
〒650-0021
兵庫県神戸市中央区三宮町2丁目10−7 グレースコウベビル 2FJR三宮より徒歩5分
阪急三宮より徒歩3分【診療時間】10:00~19:00
【休診日】不定休
-
小倉美容外科ネビュラクリニック
〒802-0006
福岡県北九州市小倉北区魚町1丁目1-16
ベルビル 6FJR小倉駅より徒歩6分
モノレール平和通駅より徒歩3分【診療時間】10:00~19:00
【休診日】不定休
-
札幌美容外科ネビュラクリニック
〒060-0001
北海道札幌市中央区北1条西3丁目3ー27
札幌北1条駅前通りビル3FJR札幌駅南口より地下歩行空間(チ・カ・ホ)経由で大通方面(南方向)へ徒歩5分
札幌市営地下鉄大通駅より徒歩5分【診療時間】10:00~19:00
【休診日】不定休
-
新宿美容外科ネビュラクリニック
-
愛知春日井美容外科ネビュラクリニック
人気施術
-
ネビュラクリニック広島院
-
ネビュラクリニック京都院
-
ネビュラクリニック東京錦糸町院
-
神戸美容外科ネビュラクリニック
-
小倉美容外科ネビュラクリニック
-
札幌美容外科ネビュラクリニック
-
新宿美容外科ネビュラクリニック
-
愛知春日井美容外科ネビュラクリニック